GD&TĐ - Trường hợp xương cá đâm xuyên thành họng ra ngoài có thể gây nguy hiểm đến tính mạng, phẫu thuật tìm xương cá trong vùng cổ bệnh nhân cũng là một phẫu thuật rất khó bởi không khác gì mò kim ở trong đáy bể.
GD&TĐ - Ngày 20/4, theo thông tin từ Bệnh viện Tai Mũi Họng Thành phố Hồ Chí Minh cho biết đã tiếp nhận và mổ cấp cứu thành công một trường hợp mắc dị vật đường thở.
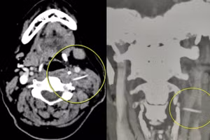
GD&TĐ - Ngày 16/3, Bệnh viện Đa khoa tỉnh Quảng Trị cho biết, vừa tiếp nhận điều trị cho một trường hợp bị hóc xương cá đâm vào lòng động mạch hiếm gặp.
GD&TĐ - Thông tin từ Bệnh viện đa khoa tỉnh Phú Thọ cho biết, ngày 23/6, bệnh viện vừa cứu sống người đàn ông 50 tuổi hóc xương cá gây thủng ruột dẫn đến áp xe ruột.
GD&TĐ - Nữ bệnh nhân 36 tuổi bị sưng đau vùng chậu bẹn. Các bác sĩ phát hiện có xương cá đi xuyên ống tiêu hóa ra ngoài thành bụng, đây cũng chính là lý do người phụ nữ bị đau bụng suốt 2 tuần.