Sau khi thăm khám, các bác sĩ đã cho biết cháu bé đã mắc bệnh rối loạn mọc răng vĩnh viễn.
Chớ chủ quan
Tới viện cháu P được chụp phim, các bác sỹ phát hiện bé trai bị rối loạn mọc răng vĩnh viễn do răng thừa ngầm hàm trên.
Đánh giá vị trí răng ngầm bất thường, cản trở việc mọc răng cửa vĩnh viễn, bé được tư vấn nhập viện Răng Hàm Mặt Trung ương để phẫu thuật bỏ răng thừa ngầm.
Sau phẫu thuật nhổ răng thừa, bé được về nhà điều trị thuốc, hẹn cắt chỉ sau 07 ngày.
Trao đổi về trường hợp bệnh nhân này, bác sĩ Ngô Thị Thu Hà, Chuyên khoa Răng – Hàm – Mặt, Bệnh viện đa khoa MEDLATEC cho biết: Răng thừa được tìm thấy ở bất kỳ vị trí nào trên khung hàm, có thể một hay nhiều răng, đã nhú ra hoặc mọc ngầm.
Nếu cha mẹ nào có con nhổ răng sữa từ 2 tháng trở lên, lợi lành thương tốt mà không thấy mọc răng vĩnh viễn thì nên cho con đi khám bác sĩ nha khoa.
Hiện tượng này có thể do một số nguyên nhân như: Răng mọc ngầm (răng dư); mầm răng vĩnh viễn lạc chỗ hoặc sau một chấn thương như ngã, tai nạn...
Những biến chứng của răng mọc thừa ngầm
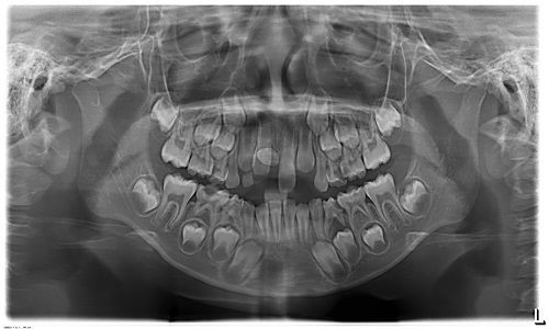
![]() |
| Hình ảnh răng mọc thừa (BV). |
Theo bác sĩ Hà, răng mọc thừa ngầm nếu không được chẩn đoán và xử trí kịp thời có thể gây nên những biến chứng nghiêm trọng như:
• Gây sưng lợi, đau nhức, ảnh hưởng không nhỏ đến việc ăn, nhai;
• Gây xô lệch, lung lay hoặc nhiễm trùng chóp, tiêu chân răng của những răng xung quanh;
• Có thể gây u, nang trong xương hàm;
• Tại vị trí mất răng, xương hàm bị tiêu hủy, mất thẩm mỹ, lâu ngày có thể khiến khuôn mặt trẻ bị biến dạng;
• Biến chứng gây nhiễm khuẩn tại chỗ, nguy hiểm hơn có thể gây nhiễm khuẩn huyết.
Răng mọc thừa ngầm chỉ được phát hiện khi thăm khám nha khoa và qua các kỹ thuật kiểm tra như chụp X-quang, chụp CT Conebeam. Chính vì vậy, việc thăm khám định kỳ răng miệng là cần thiết.
Khi trẻ bắt đầu mọc răng sữa, giai đoạn 6 tháng đến 1 năm tuổi là lần khám nha khoa đầu tiên, giúp các bác sĩ phát hiện sớm nguy cơ gây bệnh và có phương pháp điều trị kịp thời. Sau đó, mẹ đưa trẻ đi khám định kỳ 3 – 6 tháng/lần.
Vì vậy các bác sĩ đã đưa ra lời khuyên của việc khám răng định kỳ cho trẻ:
Đối với độ tuổi từ 6 tháng đến 1 năm: Đánh giá vệ sinh răng miệng; Dùng gạc mềm loại bỏ các mảng bám; Kiểm tra và điều trị những vết lở loét nếu có ở vùng miệng;
Điều chỉnh thói quen kịp thời nếu trẻ thường xuyên sử dụng núm vú giả hoặc mút ngón tay; Hướng dẫn cha mẹ cách vệ sinh răng miệng, phòng chống sâu răng cho trẻ.
Từ 1 năm tuổi trở lên: Trẻ cần được khám hoặc chụp X-quang nhằm kiểm tra sự phát triển của răng, xương hàm, đưa ra các biện pháp điều trị các tình trạng sai lệch;
Lấy cao răng bằng máy sử dụng hệ thống siêu âm nếu có để loại bỏ những mảng bám và vi khuẩn trên răng; Trám Sealant khi cần thiết để ngăn chặn vi khuẩn, dự phòng sâu răng;
Theo dõi quá trình mọc răng vĩnh viễn, kịp thời phát hiện dấu hiệu bất thường như răng mọc lệch, mọc ngầm,…
