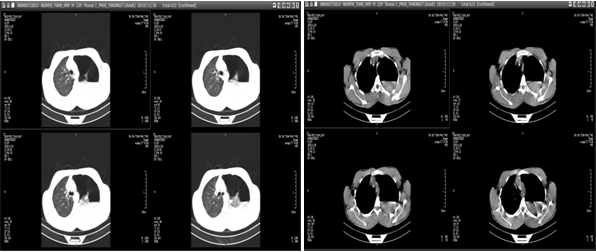
Đước biết trước đó người bệnh khỏe mạnh bình thường và có tiền sử hút thuốc lá 5 năm. Trước lúc vào viện 2 giờ người bệnh đột ngột đau tức ngực trái và khó thở. Người bệnh được chỉ định chụp phim cắt lớp vi tính lồng ngực, kết quả cho thấy: Tràn khí, tràn dịch màng phổi trái.
Sau khi hội chẩn, các bác sĩ đã quyết định phẫu thuật dẫn lưu màng phổi trái cấp cứu, hút ra khoảng 600ml máu không đông và khí. Người bệnh được dùng thuốc cầm máu và theo dõi dẫn lưu màng phổi.
Sau 12 giờ, các bác sĩ đã tiến hành phẫu thuật nội soi cầm máu, đốt kén khí và gây dính màng phổi cho người bệnh.
![]() |
| Phim chụp cắt lớp vi tính (BVCC). |
BS. Trương Văn Hải - Đơn vị Phẫu thuật Tim Mạch - Lồng ngực - Bệnh viện đa khoa tỉnh Phú Thọ cho biết: Đây là một ca bệnh đặc biệt, hiếm gặp, người bệnh có tràn khí màng phổi tự phát gây xẹp phổi co kéo dẫn đến đứt dây chằng đỉnh phổi chảy máu vào khoang màng phổi.
Bệnh hay gặp ở những người có tiền sử hút thuốc lá, thuốc lào, người bệnh có tiền sử bệnh phổi mãn tính, ở người trẻ tuổi bệnh còn hay gặp ở những người thể hình cao gầy. Nếu không được xử lý kịp thời người bệnh có thể nguy hiểm đến tính mạng do shock mất máu, tràn máu tràn khí màng phổi gây chèn ép trung thất.
Các bác sĩ khuyến cáo, người dân khi có biểu hiện đau tức ngực, khó thở cần đến cơ ở y tế để khám và xử lý kịp thời.
