
Bệnh nhân N. V. S, 63 tuổi (địa chỉ: Sơn Dương – Tuyên Quang) nhập viện trong tình trạng đau đầu nhiều, buồn nôn, chóng mặt, thể trạng gầy yếu, đi lại khó khăn, trí nhớ suy giảm, đôi lúc quên tên mình và mọi người xung quanh.
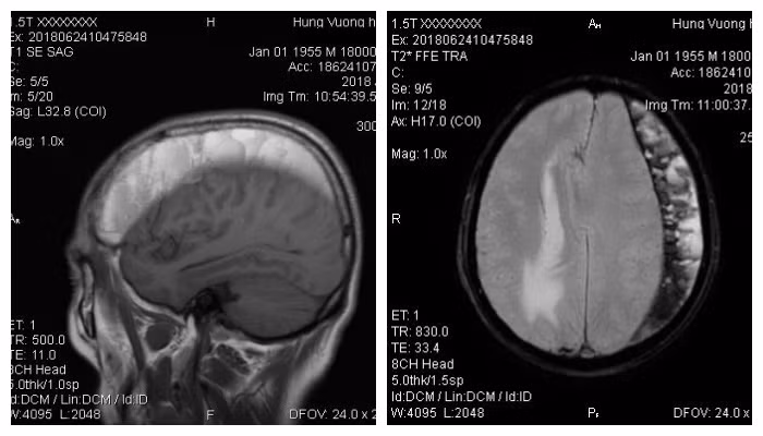
Bệnh nhân được chỉ định làm cận lâm sàng cần thiết. Kết quả cho thấy, bệnh nhân bị tụ máu dưới màng cứng bán cầu đại não trái, cần được phẫu thuật ngay.
Theo Bác sĩ Nguyễn Xuân Chiến - Bệnh viện Đa khoa Hùng Vương, chấn thương sọ não rất nguy hiểm, những chấn thương cấp tính như: máu tụ ngoài màng cứng, dưới màng cứng (cấp), dập não, xuất huyết não... thời gian vàng điều trị chỉ trong khoảng 4 tiếng đầu kể từ khi bị chấn thương.
Một số chấn thương mạn tính như máu tụ dưới màng (trường hợp của bệnh nhân S.) sẽ xuất hiện triệu chứng đau đầu kèm yếu nửa người, suy giảm trí nhớ, buồn nôn.
Do đó, sau tai nạn giao thông, té ngã hoặc va đập mạnh ở vùng đầu, nếu người bệnh có các dấu hiệu như: giảm tri giác sau chấn thương (lú lẫn, nói dính lưỡi hoặc có những hành vi bất thường), đau đầu ngày càng tăng, buồn nôn, co giật, phù nề tại vị trí tổn thương, yếu hoặc mất cảm giác tay chân, chảy dịch trắng trong ra mũi hoặc tai... phải đến bệnh viện ngay.
Hiện tại bệnh nhân S. đang được điều trị tại hồi cấp cứu bệnh viện đa khoa Hùng Vương, sức khỏe đã ổn định, có thể nói chuyện và ăn uống tốt.