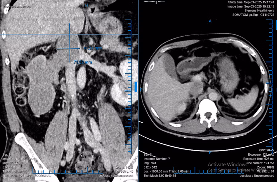
Ngày 10/10, thông tin từ Bệnh viện Bình Dân (TPHCM), bệnh nhân T.D.L (48 tuổi, quê Quảng Trị) được phẫu thuật robot cắt trọn bướu thận phải kèm huyết khối bướu dài 76mm lan sâu trong tĩnh mạch chủ. Đây là trường hợp có huyết khối bướu lớn nhất được phẫu thuật hoàn toàn bằng robot tại Việt Nam.
Bệnh nhân L. phát hiện khối bướu thận khổng lồ trong lần khám sức khỏe định kỳ. Kết quả chẩn đoán hình ảnh cho thấy khối bướu chiếm gần toàn bộ thận phải, kích thước lên đến 138mm và có huyết khối bướu lan sâu vào tĩnh mạch chủ dưới. Nếu không can thiệp kịp thời, tính mạng người bệnh bị đe dọa do nguy cơ thuyên tắc phổi và suy tim.
TS.BS Phạm Phú Phát – Trưởng Khoa Niệu A, cho biết, ca mổ kéo dài 8 giờ với sự phối hợp của 4 ekip: Tiết niệu, Gan mật, Tim mạch và Gây mê hồi sức. Các bác sĩ thực hiện hoàn toàn các thao tác bằng robot để di động gan, bộc lộ tĩnh mạch chủ và cắt bỏ toàn bộ thận phải cùng huyết khối. Lượng máu mất chỉ khoảng 600 ml, người bệnh không cần truyền máu và hồi phục tốt, xuất viện sau 10 ngày.
Theo BS Phát, ung thư biểu mô tế bào thận là loại ung thư phổ biến, trong đó có khoảng 4-10% bệnh nhân xuất hiện huyết khối bướu trong tĩnh mạch. Tình trạng này nếu không được điều trị có thể dẫn đến các triệu chứng nặng như phù nề, rối loạn chức năng tim, với tiên lượng sống trung bình chỉ khoảng 5 tháng.

Theo thống kê của Bệnh viện Bình Dân, trong 10 năm gần đây bướu thận là bệnh thuộc nhóm ung thư tiết niệu được phẫu thuật nhiều nhất, với tổng cộng 3.851 trường hợp. Dữ liệu cho thấy tổng số trường hợp cần phẫu thuật có khuynh hướng tăng dần trong từng năm.
Mặt khác, trong 5 năm gần đây, có tổng cộng 834 người bệnh bướu thận được điều trị bằng phẫu thuật robot. Số ca bướu thận được điều trị bằng robot tăng mạnh nhất, tiếp đến là phẫu thuật nội soi, đang dần thay thế mổ mở truyền thống.
“Ung thư thận ở giai đoạn sớm có thể phát hiện qua siêu âm bụng khi khối bướu chỉ 1-3 cm, giúp việc điều trị thuận lợi, ít tốn kém và tiên lượng tốt hơn. Phẫu thuật là phương pháp điều trị triệt để nhất, tuy nhiên đòi hỏi kỹ thuật rất cao và chỉ nên thực hiện tại các trung tâm chuyên sâu”, BS Phát cho hay.
Bệnh viện Bình Dân là nơi đầu tiên tại Việt Nam triển khai phẫu thuật robot cho người lớn từ năm 2016. Đến nay, bệnh viện thực hiện thành công 7 trường hợp cắt thận và lấy huyết khối bướu bằng robot. Việc ứng dụng thành công kỹ thuật robot hoàn toàn trong những ca bệnh phức tạp đã khẳng định vị thế của y học Việt Nam trong khu vực.