Nữ sinh 19 tuổi nguy kịch vì tổ hợp bệnh lý hiếm

GD&TĐ - Bệnh nhân T.H.T.T mắc bệnh hiếm gây tắc ruột, kèm cường giáp và xơ cứng bì, vừa được các bác sĩ Bệnh viện Thống Nhất điều trị thành công.

Bác sĩ thăm khám, kiểm tra lại sức khỏe cho nữ bệnh nhân trước ngày ra viện.
Bác sĩ thăm khám, kiểm tra lại sức khỏe cho nữ bệnh nhân trước ngày ra viện.

Ngày 18/12, Bệnh viện Thống Nhất (TPHCM) vừa điều trị thành công một ca bệnh đặc biệt nguy hiểm ở nữ bệnh nhân (19 tuổi), mắc cùng lúc nhiều bệnh lý phức tạp và hiếm gặp, gồm xơ cứng bì toàn thân, cường giáp không kiểm soát và hội chứng động mạch mạc treo tràng trên (SMAS).

Bệnh nhân T.H.T.T nhập viện trong tình trạng đau bụng dữ dội, bụng chướng và nôn ói liên tục. Trước đó khoảng ba ngày, bệnh nhân chỉ đau âm ỉ, không nôn ói, nhưng triệu chứng tăng nhanh khiến cơ thể mệt mỏi, suy kiệt rõ rệt.

Khai thác bệnh sử cho thấy, bệnh nhân được chẩn đoán mắc xơ cứng bì hệ thống cách đây khoảng 5 năm và chủ yếu điều trị bằng phương pháp Đông y. Ngoài ra, bệnh nhân phát hiện cường giáp từ 8 năm trước nhưng đã tự ý ngưng điều trị hơn 2 năm. Việc không kiểm soát bệnh nền trong thời gian dài khiến tình trạng sức khỏe trở nên rất phức tạp khi biến cố xảy ra.

bnhnhantnn.png
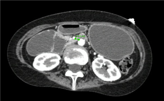
Ảnh chụp CT bụng của nữ bệnh nhân.

Kết quả thăm dò hình ảnh và chụp CT xác định bệnh nhân mắc hội chứng động mạch mạc treo tràng trên - một bệnh lý hiếm gặp. Trong trường hợp này, đoạn tá tràng bị chèn ép giữa hai mạch máu lớn trong ổ bụng, khiến thức ăn không thể lưu thông bình thường. Tình trạng tắc nghẽn kéo dài khiến bệnh nhân ăn uống kém, nôn ói liên tục, dẫn đến suy dinh dưỡng nặng, teo cơ toàn thân và suy mòn.

Theo BS.CKII Nguyễn Thanh Phong, Khoa Ngoại Tiêu hóa, Bệnh viện Thống Nhất, đây là ca bệnh có mức độ nguy hiểm rất cao do nhiều bệnh nền hiếm gặp cùng tồn tại. Hội chứng động mạch mạc treo tràng trên vốn đã ít gặp, nhưng khi xảy ra trên nền xơ cứng bì và cường giáp không kiểm soát thì nguy cơ tăng lên gấp nhiều lần.

"Cường giáp làm tăng chuyển hóa, khiến bệnh nhân sụt cân nhanh; trong khi suy dinh dưỡng lại làm giảm lớp mỡ bảo vệ mạch máu, khiến tình trạng chèn ép càng trầm trọng hơn”, bác sĩ phân tích.

Ở thời điểm nhập viện, bệnh nhân có chỉ định phẫu thuật để giải quyết tắc ruột. Tuy nhiên, việc mổ ngay là không an toàn vì cường giáp chưa được kiểm soát. Phẫu thuật và gây mê trong bối cảnh này có thể kích hoạt “cơn bão giáp” - một biến chứng nội tiết cực kỳ nguy hiểm, có tỷ lệ tử vong cao.

Do đó, bệnh nhân được chuyển sang Khoa Nội tiết để điều trị ổn định chức năng tuyến giáp trong khoảng 10 ngày. ThS.BS Phạm Hòa Bình, Phó Trưởng Khoa Nội tiết, cho biết mục tiêu quan trọng nhất trước mổ là đưa bệnh nhân về trạng thái bình giáp, nhằm giảm thiểu rủi ro trong và sau phẫu thuật.

Song song đó, bệnh nhân được hội chẩn đa chuyên khoa gồm Ngoại Tiêu hóa, Nội tiết, Dinh dưỡng, Da liễu - Miễn dịch - Dị ứng, Nội Hô hấp và Tai Mũi Họng. Các bác sĩ tập trung cải thiện tình trạng dinh dưỡng, điều chỉnh rối loạn điện giải và đánh giá toàn diện các nguy cơ có thể xảy ra.

nubenhnhanth.png
Bệnh nhân đã hồi phục ổn định, có thể ăn uống trở lại sau phẫu thuật.

Quá trình gây mê và phẫu thuật được đánh giá là đặc biệt khó khăn do xơ cứng bì khiến da vùng mặt và cổ căng cứng, miệng nhỏ, hạn chế há miệng. Ekip buộc phải mở khí quản để đảm bảo an toàn đường thở cho bệnh nhân. Sau khi chuẩn bị tối ưu, các bác sĩ tiến hành phẫu thuật nhằm giải phóng tình trạng tắc nghẽn.

Nhờ kiểm soát tốt bệnh nền và hỗ trợ dinh dưỡng tích cực, diễn tiến hậu phẫu của bệnh nhân thuận lợi. Đến ngày hậu phẫu thứ 5, bệnh nhân tỉnh táo, bụng mềm, vết mổ khô, ăn uống trở lại và không ghi nhận biến chứng nặng. Dự kiến bệnh nhân sẽ được xuất viện trong những ngày tới.

Các bác sĩ khuyến cáo, người mắc xơ cứng bì và cường giáp cần tuân thủ điều trị lâu dài, tái khám định kỳ và đặc biệt chú trọng dinh dưỡng. Việc tự ý ngưng thuốc hoặc điều trị không đầy đủ có thể dẫn đến những biến chứng nghiêm trọng, đe dọa tính mạng, nhất là khi xảy ra các bệnh lý cấp tính đi kèm.

Tin tiêu điểm

Đừng bỏ lỡ

HUTECH lựa chọn cách đào tạo AI không dừng ở lý thuyết mà hướng thẳng vào năng lực ứng dụng. Ảnh: HUTECH

Giấc mơ AI và 'nút thắt' nhân lực

GD&TĐ - Không ít doanh nghiệp vẫn đang loay hoay trước 'giấc mơ' AI. Bởi lẽ, khi công nghệ tăng tốc theo cấp số nhân thì nhân lực lại thành điểm nghẽn.

Giá xăng dầu giảm

Giá xăng dầu giảm

GD&TĐ - Từ 15h ngày 23/4, giá xăng, dầu cùng giảm 100 - 1.160 đồng/lít, kg tùy mặt hàng.

Vinhome Hải Vân Bay Sách giáo khoa thời tiết ngày mai tra cứu điểm Địa chỉ mua nước hoa chính hãng Tprofumo.com Thương hiệu kính mắt của sự tử tế kinhmatanna.com sách đọc online