Người đàn ông phát hiện dị tật bẩm sinh hiếm gặp sau cơn nhồi máu cơ tim

GD&TĐ - Bệnh viện Quân y 103 vừa cấp cứu, điều trị thành công bệnh nhân nhồi máu cơ tim cấp có bất thường giải phẫu động mạch vành rất hiếm gặp.

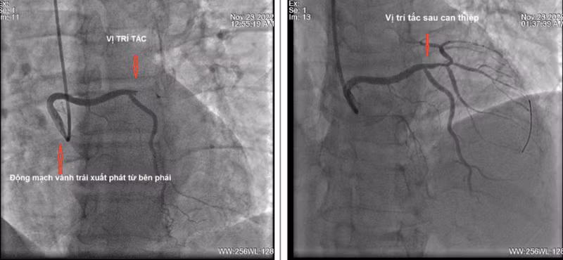
Hình ảnh chụp động mạch vành trước và sau khi can thiệp. Ảnh: BV.
Hình ảnh chụp động mạch vành trước và sau khi can thiệp. Ảnh: BV.

Theo thông tin từ Bệnh viện Quân y 103, bệnh nhân có tiền sử tăng huyết áp, đột quỵ não cũ nhiều năm trước. Sau khi khám lâm sàng và làm một số xét nghiệm máu, điện tâm đồ, siêu âm tim, các bác sĩ đã nhanh chóng được chẩn đoán bệnh nhân bị nhồi máu cơ tim cấp do tắc một nhánh động mạch vành nuôi tim.

Sau khi được xử trí cấp cứu ban đầu, bệnh nhân được đưa ngay vào phòng can thiệp mạch để chụp và can thiệp tái thông mạch vành bị tắc. Kết quả chụp động mạch vành lại cho thấy bệnh nhân có giải phẫu động mạch vành trái xuất phát rất bất thường.

Động mạch vành trái bị tắc hoàn toàn một nhánh rất lớn, nhưng động mạch này không xuất phát bình thường từ xoang vành trái mà lại xuất phát từ xoang vành phải. Đây là một trường hợp rất hiếm gặp, gây nhiều khó khăn khi chụp và can thiệp động mạch vành do các ống thông chụp động mạch vành trái thông thường không thể tiếp cận được lỗ vào của động mạch vành trái.

Kíp kỹ thuật đã hội chẩn và quyết định sử dụng loại ống thông can thiệp dành cho động mạch vành phải và kết hợp với một loại ống thông chuyên dụng nhỏ hơn đi bên trong để tiếp cận động mạch vành trái.

Cuối cùng, sau khi đã tiếp cận được lỗ vào động mạch vành trái, nong chỗ tắc bằng bóng thì các nhánh động mạch vành đều lưu thông máu tốt, bệnh nhân đỡ đau ngực ngay sau thủ thuật.

Theo TS.BS Trần Đức Hùng, Chủ nhiệm Khoa Can thiệp Tim mạch, bất thường lỗ xuất phát động mạch vành là một dị tật bẩm sinh hiếm gặp với tỷ lệ dưới 1% các trường hợp được chụp động mạch vành. Bất thường này thường gây ra thiếu máu, nhồi máu cơ tim thậm chí đột tử.

Ở những người bệnh này khi bị nhồi máu cơ tim thì phẫu thuật bắc cầu chủ vành kèm sửa chữa dị tật bất thường của động mạch vành hoặc can thiệp nội mạch bằng nong bóng, đặt giá đỡ động mạch là biện pháp có thể được lựa chọn.

Sau một tuần điều trị, bệnh nhân hết đau ngực, các chỉ số xét nghiệm cải thiện rõ rệt và được ra viện.

Tin tiêu điểm

Đừng bỏ lỡ

Tổng thống Mỹ Donald Trump.

Iran khiến Mỹ lo ngại

GD&TĐ - Bộ Tư lệnh Trung ương Mỹ lo ngại về các cuộc tập trận của Iran, mặc dù bản thân Mỹ cũng đang tiến hành các cuộc tập trận "sẵn sàng chiến đấu".

Sản xuất bao bì tại Công ty Cổ phần Trịnh Nghiên (xã Quỹ Nhất, tỉnh Ninh Bình). Ảnh minh họa: TTXVN

Khơi thông nguồn lực doanh nghiệp, phát huy vai trò trí thức

GD&TĐ - Các chuyên gia cho rằng, để đưa Nghị quyết Đại hội XIV của Đảng sớm đi vào cuộc sống, cần tập trung vào những trụ cột then chốt như hoàn thiện thể chế, khơi thông nguồn lực cho khu vực kinh tế tư nhân, thúc đẩy khoa học - công nghệ, đổi mới sáng tạo và phát huy vai trò của đội ngũ trí thức trong hoạch định và thực thi chính sách.

Bảo đảm nguồn cung, nhất là đối với lương thực, thực phẩm và môi trường dịp Tết Nguyên đán. Ảnh: TTXVN

Bảo đảm nguồn cung thực phẩm an toàn dịp Tết

GD&TĐ - Bộ trưởng Bộ Nông nghiệp và Môi trường yêu cầu các địa phương thực hiện quyết liệt các biện pháp kiểm tra, kiểm soát thị trường và không để ùn ứ rác thải ô nhiễm môi trường, hỗ trợ ngư dân yên tâm bám biển dịp Tết Nguyên đán.