Vào ngày 23/7, chàng trai 23 tuổi Tiểu Lý cảm thấy buồn ngủ trong ca làm việc nên đã ngáp rất to. Thật bất ngờ, một hành động tưởng chừng rất bình thường ấy lại khiến Tiểu Lý suýt mất mạng.
Ngay sau khi ngáp, Tiểu Lý cảm thấy đau nhói ngực và dần dần khó thở. Tiểu Lý lập tức đến Bệnh viện nhân dân số 1 Quảng Châu, Trung Quốc để điều trị.
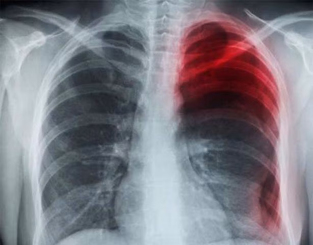
Sau khi kiểm tra sơ bộ, chụp CT, bác sĩ Lý Hiểu Quan, Phó Khoa Hồi sức đã chẩn đoán Tiểu Lý bị tràn khí màng phổi tự phát. Bác sĩ còn phát hiện Tiểu Lý có triệu chứng chảy máu và thủng phổi bên phải.
Sau đó Tiểu Lý được chuyển đến Khoa phẫu thuật lồng ngực để thực hiện phẫu thuật, trong quá trình phẫu thuật, bác sĩ đã lấy ra một lượng lớn máu.

Theo bác sĩ Từ Hiệp thuộc Khoa phẫu thuật lồng ngực, tổng lượng máu trong cơ thể con người chiếm 7%-8% trọng lượng cơ thể. Bệnh nhân Tiểu Lý nặng 42kg và tổng lượng máu khoảng 3400ml. Thể tích chảy máu của Tiểu Lý là khoảng 2000ml, tương đương với hơn một nửa lượng máu của cơ thể.
Sốc xuất huyết và tử vong đột ngột có thể xảy ra bất cứ lúc nào. May mắn thay, các bác sĩ đã cấp cứu kịp thời, cuộc phẫu thuật diễn ra suôn sẻ.

Bệnh tràn khí màng phổi tự phát xuất hiện với tỷ lệ 2/10.000 người trưởng thành trẻ tuổi, và đàn ông có nguy cơ bị bệnh cao gấp 4 lần phụ nữ. Căn bệnh này có thể bắt nguồn từ nhiều nguyên nhân khác nhau, nhưng những nam giới trẻ cao, gầy thuộc nhóm có nguy cơ cao bị bệnh "tấn công".
Chính thể tạng mảnh khảnh của Tiểu Lý, với chiều cao 1m65 và cân nặng gần 42kg, được cho là căn nguyên dẫn tới tổn thương bất thường ở phổi vì ngáp.
Tràn khí màng phổi tự phát?
Tràn khí màng phổi tự phát là tình trạng khí thoát ra từ nhu mô phổi vào khoang màng phổi qua phế nang bị tổn thương mà không do nguyên nhân là lực tác động từ bên ngoài (chấn thương hoặc vết thương).
Bình thường trong khoang màng phổi không có khí và tạo nên áp lực âm, điều đó giúp cho phổi nở để thực hiện chức năng trao đổi khí. Khi có tràn khí vào khoang màng phổi, phổi sẽ bị ép lại, không thể trao đổi khí, gây nguy hiểm đến tính mạng.
Phân loại tràn khí màng phổi tự phát
- Tràn khí màng phổi tự phát nguyên phát:
Tràn khí màng phổi xuất hiện ở những người trước đó khoẻ mạnh, hay gặp ở nam giới, trẻ tuổi (tỷ lệ nam/nữ = 3/1), thường do vỡ các bóng khí ở bề mặt phổi.
Cơ chế hình thành các bóng khí còn chưa rõ: Có thể do bẩm sinh hoặc do viêm tiểu phế quản tận. Thường gặp ở người cao, gầy vì ở cơ địa này áp lực đỉnh phổi thấp hơn dễ gây vỡ các bóng khí.
Khoảng 30% số trường hợp tràn khí màng phổi tự phát nguyên phát bị tái phát.
- Tràn khí màng phổi tự phát tái phát:
Là tràn khí màng phổi xuất hiện ở những người bị bệnh phổi trước đó, tiên lượng xấu hơn.
Thường gặp ở người trên 30 tuổi.
Rất nhiều bệnh phổi có thể gây biến chứng tràn khí màng phổi như: Lao phổi, viêm phổi, bệnh phổi tắc nghẽn mạn tính, hen phế quản, xơ hoá kén, xơ phổi kẽ lan toả, bệnh bụi phổi...
Triệu chứng của tràn khí màng phổi tự phát
- Khởi phát đột ngột, đau ngực dữ dội (đau như xé ngực), bệnh nhân phải ôm lấy ngực. Có thể xuất hiện triệu chứng đau ngực sau khi ho khạc hoặc làm việc gắng sức.
- Cảm giác khó thở, ngột ngạt. Triệu chứng khó thở tăng dần khi mức độ tràn khí tăng lên.
- Vã mồ hôi lạnh, ho khan. Trường hợp tràn khí nặng sẽ vật vã, tím tái, thở nhanh nông, mạch nhanh, huyết áp tụt.
Khi có các triệu chứng trên cần để bệnh nhân tư thế nửa nằm nửa ngồi và nhanh chóng đưa đến cơ sở y tế gần nhất.