Người bệnh cho biết, đã phát hiện khối u vùng bụng từ cách đây một năm. Khối u ngày một to dần, nhưng do không thấy đau nên người bệnh không đi khám.
3 tháng trước, cô M. thấy bụng to nhanh hơn kèm theo triệu chứng thường xuyên đau bụng, mệt mỏi, ăn uống không ngon miệng.
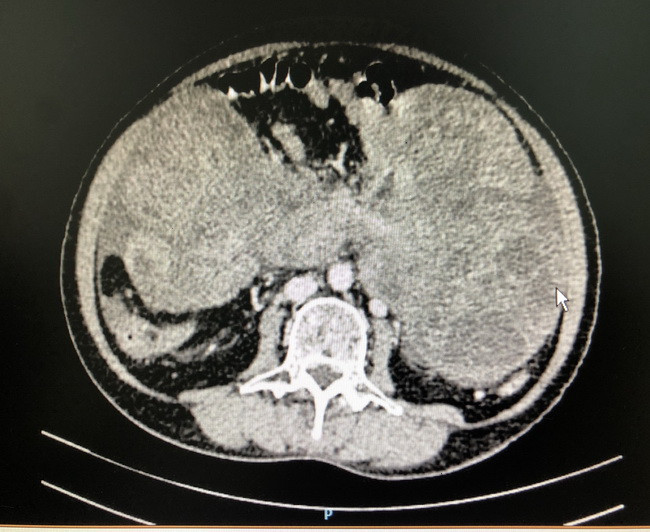
|  | 
| Hình chụp CT khối u chiếm gần hết ổ bụng bệnh nhân. | 
Người bệnh đến khám tại BV Đại học Y dược TP HCM thì được các bác sĩ cho biết khối u đã rất to, chắc và chiếm gần hết ổ bụng.
Bên cạnh đó, kết quả chẩn đoán hình ảnh học cũng cho thấy đây có thể là khối u ác tính và đã có hiện tượng xuất huyết, di căn phúc mạc.
Cô M. được phẫu thuật để lấy khối u ở vị trí mạc treo ruột non có kích thước 23x16x19cm, cân nặng 3kg cùng với phần mạc nối bị di căn.
Sau phẫu thuật, người bệnh phục hồi nhanh chóng, cảm thấy khỏe hơn, ăn uống ngon hơn và xuất viện sau một tuần điều trị.
|  | 
| Khối u " khổng lồ" nặng 3kg được lấy ra khỏi người bệnh. | 
Kết quả giải phẫu bệnh sau mổ cho thấy đây là loại u mô đệm đường tiêu hóa (GIST – Gastrointestinal stromal tumor) có độ ác tính cao.
Cô M. cũng được dặn dò tái khám định kỳ để có thể hóa trị bằng thuốc đặc trị và phát hiện sớm trong trường hợp có khối u tái phát hoặc di căn.
ThS BS. Phạm Công Khánh – Phó Trưởng khoa Nội soi BV ĐHYD, người trực tiếp phẫu thuật lấy khối u cho biết u mô đệm đường tiêu hóa thường xuất hiện ở thực quản, dạ dày, ruột non hay đại trực tràng. Trường hợp khối u nằm bên ngoài đường tiêu hóa như trường hợp này là rất hiếm.
U của người bệnh này đã phát triển rất lớn, nên nếu không được phẫu thuật cắt khối u, cô M. sẽ đối mặt với 2 nguy cơ. Thứ nhất, khối u có nguy cơ vỡ, khiến người bệnh xuất huyết ổ bụng và mất máu cấp. Thứ hai, khối u có thể lan rộng, xâm lấn các mạch máu lớn hoặc các cơ quan nội tạng quan trọng. Nếu nguy cơ thứ hai xảy ra, người bệnh khó có khả năng điều trị triệt để bằng phẫu thuật.
ThS BS. Phạm Công Khánh cũng khuyến cáo người dân có những biểu hiện nghi ngờ là khối u bụng thì cần đến khám sớm tại các cơ sở y tế để thực hiện các chẩn đoán hình ảnh học như siêu âm, chụp cắt lớp vi tính bụng chậu để xác định chính xác nguyên nhân và tình trạng bệnh. Có như vậy, người bệnh mới được điều trị kịp thời, chính xác và hiệu quả.
 
  
  
   
   
   
   
   
   
   
   
   
   
   
   
   
   
   
   
   
   
   
   
   
   
   
   
   
   
   
   
   
   
   
   
   
  