Đó là trường hợp bệnh nhân N.T.Đ. (50 tuổi, ngụ tại Đồng Tháp). Trước khi đến bệnh viện, bà Đ. có biểu hiện tức ngực, khó thở, nuốt nghẹn, ói sau khi ăn. Cho rằng mình bị bệnh dạ dày, bà đến Bệnh viện Quận Thủ Đức thăm khám. Tuy nhiên, bác sĩ không ghi nhận dấu chứng của bệnh liên quan đến đường tiêu hóa.
 
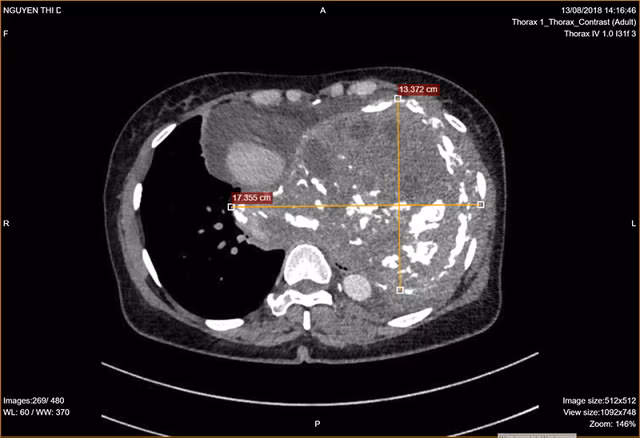
 Bệnh nhân được chỉ định thực hiện các kiểm tra hình ảnh. Trên kết quả CT-Scan, bác sĩ cũng “giật mình” trước hình ảnh khối u lớn chiếm gần hết lồng ngực bên trái của người bệnh. “Đây là dạng khối u tân sinh nằm ở trung thất, chưa rõ tính chất. Khối u có kích thước rất lớn (17x13x12cm) đẩy lệch tim, khí quản, thực quản của bệnh nhân sang lồng ngực phải, xâm lấn động mạch chủ ngực đe dọa trực tiếp sinh mạng người bệnh”, BS Nguyễn Kim Anh, Trưởng khoa Lồng ngực Mạch máu cho hay.
Sau cuộc hội chẩn, với sự hỗ trợ chuyên môn từ Bệnh viện Đại học Y Dược, bệnh viện Quận Thủ Đức quyết định thực hiện cuộc phẫu thuật cho bệnh nhân. Trong cuộc mổ, ê kíp ghi nhận, lồng ngực bên trái bị khối u chiếm gần hết, khối u được bao bọc bởi hệ thống mạch máu tăng sinh, đe dọa vỡ gây xuất huyết ào ạt, nguy cơ bệnh nhân có thể tử vong trên bàn mổ.
 
 Suốt 3 giờ cẩn trọng bóc tách từng chi tiết nhỏ, các bác sĩ đã tách thành công khối u xâm lấn vào động mạch chủ, tránh nguy cơ xuất huyết cho người bệnh. Khối u có trọng lượng 2,5kg được bóc triệt để, đưa ra ngoài thành công. 2 ngày sau ca phẫu thuật (ngày 22/8) bệnh nhân đang bình phục tốt. BS Kim Anh cho biết: “Chúng tôi đang chờ kết quả sinh thiết bệnh phẩm, xác định tính chất của khối u để đưa ra chỉ định điều trị tiếp theo”.
Từ trường hợp trên, bác sĩ khuyến cáo cộng đồng, khi cơ thể có những biểu hiện bất thường như khó thở, tức ngực, hay nôn ói, mệt mỏi… là những dấu hiện cảnh báo xấu. Người bệnh cần đi thăm khám để được bác sĩ kiểm tra, điều trị kịp thời, tránh nguy hiểm có thể xảy ra.
 
  
  
   
   
   
   
   
   
   
   
   
   
   
   
   
   
   
   
   
   
   
   
   
   
   
   
   
   
   
   
   
   
   
   
   
  