Thời gian gần đây, Bệnh viện Việt Nam – Thụy Điển Uông Bí (Quảng Ninh) tiếp nhận nhiều trường hợp bệnh nhân nhi vô tình nuốt phải các dị vật khiến dị vật mắc tại đường tiêu hóa gây nguy hiểm tính mạng.
Theo các bác sĩ cho hay, ngày 10/4, bệnh viện tiếp nhận bệnh nhân nhi V.T.H.T (17 tháng tuổi) trú tại phường Phương Nam (TP. Uông Bí).
Người nhà bé T kể, trong quá trình chơi đùa, cháu đã vô tình nuốt phải chiếc chìa khóa vào bụng. Quá lo lắng, gia đình đã đưa cháu T đến Bệnh viện Việt Nam - Thụy Điển Uông Bí thăm khám.
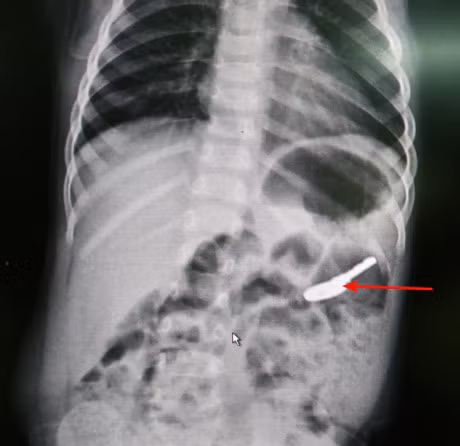
Sau khi tiến hành các thủ thuật và dựa trên hình ảnh chụp X.Quang, bác sĩ phát hiện trong dạ dày của bé T có 1 vật thể là chiếc chìa khóa có kích thước khoảng 3,5cm. Khi gắp bỏ dị vật sức khỏe bệnh nhân đã ổn định, ăn uống tốt và được xuất viện.
Tiếp đó, ngày ngày 11/4, bệnh viện cũng tiếp nhận cháu Đ. G. M (8 tháng tuổi) trú tại thị xã Đông Triều. Người nhà cháu M kể, trong quá trình cho ăn bột, cháu M có nôn ra thức ăn kèm một ít máu tươi và quấy khóc.
Khi tiến hành nội soi các bác sĩ phát hiện có 1 dị vật dài, mảnh cứng trong thực quản của trẻ. Sau đó, dị vật được gắp khỏi thực quản của trẻ là một mảnh kim loại dài 2cm.
Được biết, để thực hiện thành công ca nội soi gắp dị vật cho bệnh nhi, các bác sĩ đã tiến hành gây mê đặt nội khí quản nhằm đảm bảo hô hấp cho bệnh nhân trong suốt quá trình diễn ra thủ thuật.

Thời gian gần đây nhiều trẻ nhỏ ở Quảng Ninh nuốt phải dị vật sắc nhọn. Ảnh: V.Nhị
Trao đổi với PV, bác sĩ Bùi Thúy Hằng – khoa Nội tiêu hóa, Bệnh viện Việt Nam - Thụy Điển Uông Bí cho hay, đối với trường hợp của bệnh nhân T, nếu không xử trí gắp bỏ kịp thời thì dị vật có thể sẽ di chuyển theo đường tiêu hóa xuống ruột gây tổn thương như: rách thủng niêm mạc ruột, tắc ruột ảnh hưởng lớn tới sức khỏe của trẻ.
Theo bác sĩ Hằng, đối với các gia đình có trẻ nhỏ cần tránh cho trẻ tiếp cận gần những vật thể sắc để hạn chế các trường hợp hóc dị vật vào đường thở và cả đường tiêu hóa ở trẻ.