20 sống chung với khối u
Suốt hơn 20 năm qua, bà Hà Thị V. 61 tuổi quê tại xã Tú Lệ, huyện Văn Chấn, tỉnh Yên Bái phải “sống chung” với khối u trên cổ ngày một lớn, to như quả bưởi.
Cuộc sống của bà V. Gặp nhiều khó khăn trong sinh hoạt, giao tiếp hàng ngày và những ánh mắt tò mò của những người xung quanh.
Bà V cho biết, phát hiện bệnh từ hơn 20 năm trước nhưng do bệnh không ảnh hưởng sức khoẻ, hoàn cảnh lại khó khăn, quê ở xa nên không đi khám.
“20 năm qua tôi thường xuyên phải dùng khăn quàng để che và đỡ khối u, vì khối u ngày một to lên nên tôi không lao động được nhiều, tay cũng phải đỡ khối u nếu không sẽ rất khó chịu” – bà V chia sẻ.
Gần đây, khối u to nhanh, chèn ép mạnh khiến bà khó thở, khó nuốt, không thể chịu đựng được nữa thì bà mới đến Bệnh viện K khám.
Cắt bỏ khối u nặng 3,2 kg
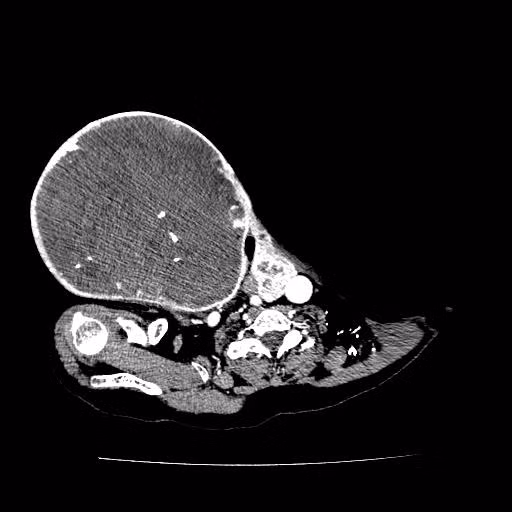
![]() |
| Phim chụp khối u (BVCC). |
Sau khi được thăm khám và chụp cắt lớp vi tính, bác sĩ cho biết bệnh nhân V.có khối u thùy phải tuyến giáp kích thước 28 x 20 cm.
Theo PGS.TS Lê Văn Quảng cho biết: “Bệnh nhân V. có khối u thùy phải tuyến giáp kích thước rất lớn, tăng sinh mạch máu, đè đẩy khí quản sang bên đối diện, chèn ép động mảnh cảnh, đẩy tĩnh mạch cảnh trong ra ngoài, khối u ở vị trí tập trung nhiều mạch máu quan trọng, u lớn làm tăng sinh mạch máu nên nguy cơ mất máu rất lớn trong quá trình phẫu thuật.Nếu không xử trí tốt có thể gây tổn thương mạch máu lớn, dây thần kinh thanh quản gây khàn tiếng hoặc mở khí quản".
Ngày 12/09 ekip phẫu thuật gồm PGS.TS Lê Văn Quảng, Ths Ngô Xuân Quý và các bác sĩ Ngoại đầu cổ đã tiến hành phẫu thuật cho bà V. Với kinh nghiệm lâu năm, sự chuẩn bị cân nhắc kỹ càng và trang bị đầy đủ thiết bị phẫu thuật tốt nhất, ekip phẫu thuật đã kiểm soát tốt các mạch máu, chủ động thắt các mạch lớn cấp máu cho tuyến giáp.
Ca mổ diễn ra thành công, khối u “khủng” đường kính 28 cm, nặng 3,2kg được cắt bỏ hoàn toàn mà vẫn bảo tồn được các dây thần kinh, tuyến cận giáp không tổn thương khí quản, mạch máu lớn.
1 tuần sau phẫu thuật, bệnh nhân ăn uống, giao tiếp tốt,không còn khó thở, không khàn tiếng và ra viện ngày 18/09/2019.
