Chiều 30/6, trao đổi với báo Phụ Nữ TP.HCM, một đại diện của Khoa Liên chuyên khoa (Tai Mũi Họng, Răng Hàm Mặt, Mắt) của Bệnh viện Đa khoa Xuyên Á (BVXA) cho biết, bé trai N.A.T. (4 tuổi, ngụ tại Hóc Môn, TP. Hồ Chí Minh) được thực hiện thành công ca cấp cứu gắp đồng xu ra khỏi thực quản đã hoàn toàn bình phục.
Vị đại diện cho biết, vào khoảng 12h trưa ngày 22/6, khi nghe bé T. kể đã nuốt đồng xu, có cảm giác cổ đau dữ đội, đau khi nuốt nước, người nhà khẩn trương đưa bé đến BVXA kiểm tra. Ngay lập tức, bé N. đã được thực hiện các cận lâm sàng cần thiết.
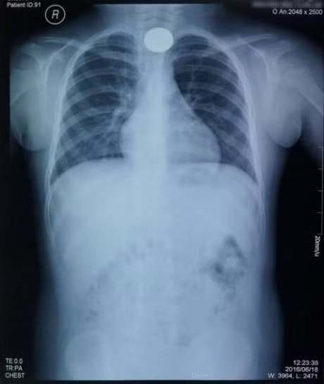
Qua kết quả X-Quang, các bác sĩ tại khoa Liên chuyên khoa xác định có dị vật mắc ở vị trí vùng cổ của bé, bịt đường thở gây nguy hiểm tính mạng.

Đồng xu nằm trong cổ bé trai, bít đường thở.
Ngay lập tức, bé N. được chuyển đến Trung tâm Nội soi của bệnh viện để thực hiện nội soi cấp cứu có tiền mê. Các bác sĩ đã nhanh chóng kiểm tra thấy dị vật là đồng xu chơi game, kích thước khoảng 2.5cm, mắc ở 1/3 trên thực quản cổ của bé trai. Tiến hành cấp cứu, các bác sĩ đã gắp đồng xu ra bằng dụng cụ chuyên dụng.
Sau khi thực hiện nội soi, sức khỏe của bé trai đã tốt, gia đình N. đã có thể cho bé xuất viện ngay trong ngày hôm sau, về nhà tiếp tục theo dõi.
Trao đổi thêm liên quan đến trường hợp này, TH.S, BS Nguyễn Kim Tưởng – Phó khoa Liên chuyên khoa BVXA khuyến cáo các bậc cha mẹ nên cẩn thận, hạn chế cho các bé chơi những dạng đồ chơi nhỏ như hòn bi, đồng xu, kim băng... Bác sĩ Tưởng cho biết, dị vật có thể rơi vào đường ăn, đường thở, có thể gây áp –xe, nhiễm trùng đường tiêu hóa, hoặc gây ho sặc, tím tái, ngưng thở dẫn đến tử vong.
Cùng ngày, trao đổi với Báo Phụ Nữ TP.HCM, Ths-BS Huỳnh Công Chánh - Trưởng khoa Cấp cứu Bệnh viện Xuyên Á (BVXA - có địa chỉ tại huyện Củ Chi, TP.HCM) cho biết, bệnh viện vừa cấp cứu thành công một bệnh nhân vỡ thai ngoài tử cung trong tình trạng nguy kịch.
Ông Chánh nhận định: "Đây là vỡ thai ngoài, tức là thai không nằm trong cổ tử cung. Hiện tượng thai nằm ngoài tử cung thì hiện tượng vỡ cũng thường gặp".
Ca này được đánh giá là nguy hiểm. Khi gọi điện đến cấp cứu thì đã trong tình trạng đau bụng, khó thở, xuất huyết nội do vỡ thai ngoài tử cung. Nếu kéo dài có thể nguy hiểm đến tính mạng do mất máu quá nhiều trong ổ bụng".
Hiện, sức khỏe bệnh nhân cũng đã ổn định.