Theo chuyên gia phong thủy Tam Nguyên, hình dáng hàm răng có thể tiết lộ phần nào tương lai của người đó.
Hàm răng rồngTướng răng rồng thường có răng cửa rất dài và trắng. Hàm răng này thường có 32 cái. Người sở hữu hàm răng rồng thường có vận mệnh tốt, số phú quý giàu sang sẽ gặp nhiều may mắn trong cuộc sống.
Hàm răng khểnh (răng hổ)
![]() |
Răng khểnh hay còn gọi là răng hổ, răng nanh (cạnh răng cửa) ở hàm trên mọc nhô hẳn ra. Những người có răng như vậy nếu kết hợp với miệng đẹp, sắc môi tươi tắn thì chắc chắn sẽ thành đạt và gặp nhiều may mắn ở tuổi thiếu thời.
Những người này sẽ đặc biệt thích hợp với con đường theo đuổi nghệ thuật hay điện ảnh.
Những người có răng khểnh luôn tỏ ra tháo vát trong mọi việc. Họ là những người cực kỳ tự tin. Cách họ giải quyết công việc cũng cực kỳ thông minh và nhạy bén.
Tuy nhiên, đôi lúc họ là những con người quá ư tự phụ và khá kiêu ngạo. Những người có tướng răng hổ thường tự do phóng túng, bướng bỉnh. Chính bởi vậy mà các mối quan hệ của họ cũng không mấy tốt đẹp.
Hàm răng trâu
![]() |
Đặc điểm của hàm răng này thường có răng cửa trắng, dài, to và khá đều. Hàm răng thường có hơn 32 chiếc.
Những người sở hữu hàm răng trâu sẽ thường nhận được nhiều phúc lộc. Những người này thường có con cháu đầy đàn, tài lộc quanh năm. Những người có trên 30 đến 32 cái sẽ có mệnh phú quý.
Còn với những ai có 36 đến 38 thì có số cực quý. Những người này đều đỗ đạt và thăng tiến trong công việc. Họ thường có số nổi danh, học giỏi và có cuộc đời nhiều người mong ước.
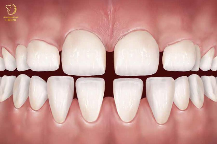
Hàm răng thưa
![]() |
Đặc điểm hàm răng thưa các răng không đều nhau, trông khá trống trải. Những người có tướng răng này thường ăn nói luyên thuyên. Đặc biệt họ là những người hay gây thị phi, không biết kín miệng và giữ bí mật. Đây là những người gặp nhiều sóng gió, thăng trầm.
Sự nghiệp cũng lận đận, phải tự lực cánh sinh bươn chải, thường phải xa xứ cầu danh. Trong hôn nhân, những người này gặp không ít trắc trở và không được hạnh phúc.
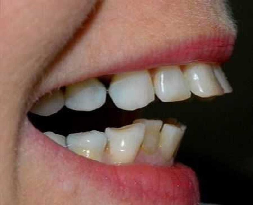
Hàm răng vẩu
![]() |
Đặc điểm của tướng răng vẩu là hàm răng trên hoặc răng cửa mọc không đều. Các răng mọc chồng lên nhau và nhô ra ngoài.
Những người có tướng răng vẩu thường có tính cách bạo dạn, làm việc tích cực và nhiệt tình. Họ cũng là người có tính hiếu kỳ cao, nói năng liến thoắng, nhanh mồm nhanh miệng. Cũng chính điều này mà họ có nhiều mối quan hệ bạn bè.
Tuy nhiên đôi khi họ cũng hay "chém gió". Tuy người răng vẩu làm việc thường chịu khó nhưng họ lại không làm đến nơi đến chốn. Chủ nhân của tướng răng vẩu này bất kể nam nữ, tiền vận hay gặp khó khăn, cả đời vất vả.
Hàm răng hạt lựu
![]() |
Những người có hàm răng hạt lựu được cho là hàm răng đẹp. Đây là kiểu răng có hình dạng hạt lựu, ngắn, vuông, mọc đều đặn, ngay hàng thẳng lối.
Đây là tướng răng rất đẹp về cả hình thức đến mặt tướng số, Những người sở hữu kiểu răng này sẽ thường có tướng mệnh ôn hòa, hạnh phúc, suôn sẻ trong mọi việc. Người có tướng răng hạt lựu thường là những người rất có triển vọng, tiền đồ sáng sủa.
* Thông tin mang tính tham khảo, chiêm nghiệm.




