Cao răng là gì?
Cao răng (hay vôi răng) là mảng bám đã được vôi hóa bởi hợp chất muối calcium phosphate trong nước bọt. Tìm hiểu các nguyên nhân gây cao răng, cách phòng ngừa cao răng hiệu quả.
Cao răng (hay vôi răng) là mảng bám đã được vôi hóa bởi hợp chất muối calcium phosphate trong nước bọt. Thông thường mảng bám cần tồn tại trong miệng khoảng 1 tuần để biến thành cao răng. Vì vậy, nếu chúng ta làm vệ sinh răng miệng kĩ và thường xuyên thì cao răng sẽ không còn cơ hội hình thành.
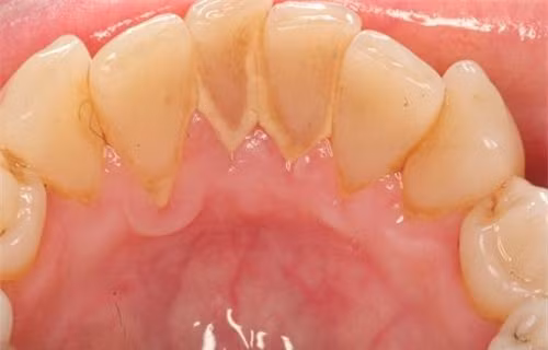
Cao răng thường tập trung ở cổ răng, có màu trắng đục, ở những người hút thuốc lá thì cao răng nhuộm màu vàng nâu, gây mất thẩm mỹ.

Cao răng có mấy loại?
Cao răng có 2 loại là cao răng thường và cao răng huyết thanh. Cao răng thường như đã mô tả ở trên, khi cao răng thường gây nên viêm lợi tại chỗ, lợi vùng viêm đó sẽ tiết dịch viêm và chảy máu, máu đó ngấm vào cao răng thường tạo nên màu nâu đỏ, lúc này mảng cao răng đó được gọi là cao răng huyết thanh.
Tốc độ tạo cao răng ở mỗi người một khác, sự hình thành của nó bị ảnh hưởng của những thành phần có trong nước bọt, thói quen ăn uống, thói quen vệ sinh răng miệng. Sau khi đánh răng sạch khoảng 48 giờ là thời gian hình thành cao răng nhanh nhất, cao răng có màu nâu hoặc đen.
Tác hại của cao răng
Cao răng là nguyên nhân gây ra các bệnh lý răng miệng
Khi nói đến cao răng có tác hại gì thì điều đầu tiền phải nói đến là việc gây ra các bệnh lý răng miệng. Cao răng là môi trường lý tưởng cho vi khuẩn có thể sinh sôi và phát triển. Từ đây, vi khuẩn sẽ tạo thành ổ và bắt đầu tấn công vào men răng và nướu lợi, gây ra các bệnh lý răng miệng như sâu răng, viêm lợi, viêm nha chu, nếu không điều trị kịp thời có thể khiến răng lung lay, viêm tủy và rụng,…
Cao răng là nguyên nhân gây hôi miệng
Hôi miệng tuy không phải là bệnh lý nghiêm trọng, gây nguy hiểm đến tính mạng nhưng lại khiến nhiều người cảm thấy mất tự tin mỗi khi cần phải giao tiếp với người khác, đồng thời làm ảnh hưởng đến những người xung quanh.
Cao răng đã được chứng minh là một nguyên nhân chủ yếu gây ra bệnh hôi miệng. Chính vì vậy, việc để cao răng ngày càng nhiều trong khoang miệng mà không có hướng xử lý thì sẽ càng làm cho tình trạng hôi miệng trở nên trầm trọng hơn.
Cao răng khiến răng bị ố vàng
Cao răng cũng được coi là một nguyên nhân phổ biến khiến răng bị ố vàng, không trắng bóng như bình thường. Hình ảnh răng ố vàng phần nào đã làm giảm bớt tính thẩm mỹ cho gương mặt, khiến chủ nhân của nó cũng cảm thấy tự ti, không dám cười nói nhiều trước đông người, đặc biệt với phụ nữ, khi tô son màu nổi thì lại càng làm rõ ràng màu răng vàng ố.

Dùng baking soda (thuốc muối) với nước cốt chanh
Baking soda hay thuốc muối là nguyên liệu dễ dàng tìm thấy trong căn bếp nhà bạn. Thuốc muối giúp loại bỏ các vết xỉn màu trên bề mặt răng, đồng thời làm giảm nồng độ a-xít trong miệng.
Hãy trộn thuốc muối với một ít nước cốt chanh rồi dùng bàn chải chà lên răng. Để hỗn hợp này thấm khoảng vài phút rồi súc miệng lại bằng nước sạch.