Bệnh viện Bệnh nhiệt đới Trung ương vừa tiếp nhận điều trị cho một bệnh nhi (15 tuổi, trú tại xã Vị Hà, huyện Bạch Thông, tỉnh Bắc Kạn) mắc hội chứng viêm đa hệ thống mức độ nặng hậu Covid-19.
Trước khi mắc Covid-19, bệnh nhi đã được tiêm 2 mũi vắc xin phòng Covid-19, mũi 2 đã tiêm cách vào viện 2 tháng.
3 tuần trước vào viện, bệnh nhi có biểu hiện sốt, đau họng, chảy mũi, ho khan, được làm xét nghiệm SARS-CoV-2 dương tính. Sau 10 ngày, bệnh nhi hết các triệu chứng, xét nghiệm test nhanh Covid-19 âm tính và đi học lại bình thường.
Sau khi khỏi bệnh được 2 tuần, bệnh nhi đột ngột sốt cao 40 độ C, rét run, kèm theo phát ban sẩn ngứa dạng chấm, nốt toàn thân. Lúc vào viện, bệnh nhi có tình trạng ban đỏ toàn thân, kết mạc mắt đỏ, sưng nề mi mắt, lưỡi đỏ, mệt nhiều, sốt cao.
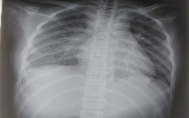
Các xét nghiệm cho thấy bệnh nhi bị tổn thương nhiều cơ quan, trong đó, phổi có tổn thương mờ dạng kẽ vùng rốn phổi 2 bên; tim có tràn dịch màng ngoài tim; các chỉ số men gan cũng tăng gấp 2 lần. Đặc biệt là các chỉ số viêm tăng rất cao.

Phim chụp tổn thương phổi của bệnh nhi. Ảnh: BV.
Các bác sĩ chẩn đoán: Bệnh nhi mắc hội chứng viêm đa hệ thống mức độ nặng. Bệnh nhi được chuyển vào Khoa Cấp cứu, điều trị các thuốc thích hợp. Sau gần 1 tuần điều trị, các chỉ số xét nghiệm dần trở về bình thường.
Bác sĩ Trần Văn Bắc, Phó Trưởng Khoa Cấp cứu cho biết: Sau hơn 10 ngày điều trị, bệnh nhi được xuất viện, đi học trở lại, sinh hoạt gần như trước đây. Tuy nhiên, với trường hợp bệnh nhi này vẫn cần theo dõi lâu dài các biến chứng trên tim mạch và hệ miễn dịch…
Bác sĩ Bắc cho hay: Hội chứng viêm đa hệ thống ở trẻ em có nhiều điểm chung với bệnh Kawasaki và hội chứng sốc nhiễm độc độc tố tụ cầu. Tuổi trung bình bị bệnh là 8 tuổi, gặp nhiều nhất trong độ tuổi từ 6 đến12 tuổi.
Biểu hiện lâm sàng của bệnh rất đa dạng, bao gồm: sốt, biểu hiện tiêu hóa, tim mạch, viêm kết mạc, ban đa hình thái, và suy hô hấp. Nhiều trường hợp bị bệnh nặng phải chăm sóc ở đơn vị hồi sức tích cực.
Điều trị cho bệnh nhân mắc hội chứng MIS-C chủ yếu là sử dụng các thuốc globulin miễn dịch hoặc corticoid, đồng thời với điều trị hỗ trợ, quản lý biến chứng tim mạch và dự phòng chống đông. Tuy nhiên, những hậu quả lâu dài thì khó có thể xác định được.
Do đó, khi trong nhà có trẻ mắc Covid-19, cần theo dõi chặt chẽ xem có dấu hiệu mắc phải hội chứng viêm đa hệ thống không. Nếu có bất cứ triệu chứng nghi ngờ, cần đưa trẻ tới cơ sở y tế để được thăm khám và điều trị kịp thời.