
Thiếu ngủ liên tục dẫn đến thiếu dinh dưỡng cho não, cơ thể và khiến làn da xấu xí. Giấc ngủ chính là thức ăn cho não, nếu bạn không ngủ đủ, tức là những bộ phận này đang thiếu dinh dưỡng.
Trong khi bạn đang chìm vào giấc ngủ, cơ thể bạn hoạt động để loại bỏ các tế bào máu và não già hoặc chết. Bộ não của bạn cũng giúp cơ thể loại bỏ độc tố lên tới 60% khi bạn ngủ đủ giấc. Nói chung, ngủ đủ chính là điều kiện để da luôn đẹp.

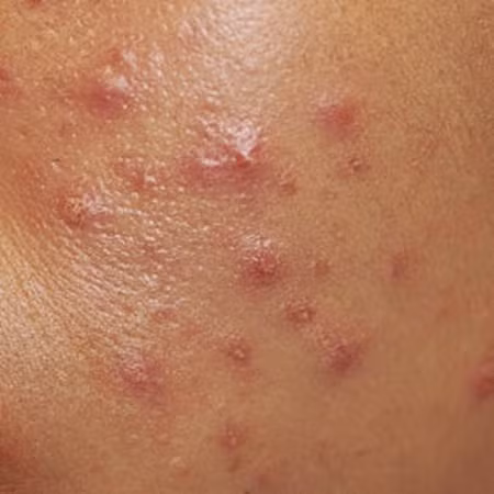
Làn da trở nên mất cân bằng, mất nước, mẩn đỏ và mụn do thiếu ngủ. Thiếu ngủ không chỉ ảnh hưởng tiêu cực đến sức khỏe tổng thể, mà còn ảnh hưởng đến độ ẩm của làm da, làm mất cân bằng độ pH của da, đó là lý do vì sao thiếu ngủ khiến da sạm đi.

Khi nồng độ pH giảm xuống, chúng tạo ra sự mất cân bằng, khiến da của bạn không có khả năng tái tạo độ ẩm cần thiết, do đó da sẽ bị khô hơn. Đó cũng là lý do có thể gây ra các vết đỏ trên da, thậm chí là mụn.

Thiếu ngủ có nghĩa là cơ thể bạn sản xuất chậm các hormone tăng trưởng của con người. Trong khi đó, hormone tăng trưởng có khả năng tái tạo, phục hồi và duy trì làn da của bạn sau khi bị hư tổn.

Xuất hiện quầng thâm mắt. Khi bạn ngủ, các tế bào da bắt đầu tái tạo. Nếu bạn ngủ ít, các mạch máu giãn ra, dẫn đến thâm quầng mắt.

Uống nước 90 phút trước khi đi ngủ giúp tái tạo da hiệu quả. Giấc ngủ trải qua 4 giai đoạn khác nhau, 2 giai đoạn đầu bạn đang ở giữa ranh giới tỉnh táo và ngủ, giai đoạn 3 và 4 là khi bạn chìm vào giai đoạn ngủ sâu.
Đây cũng chính là giai đoạn tái tạo tế bào da, lúc này da cần lượng nước cần thiết trong cơ thể, vì vậy hãy uống nước 90 phút trước khi đi ngủ.

Thiết bị công nghệ khiến da bạn sạm đi và mệt mỏi vào sáng hôm sau. Thật khó khăn để cưỡng lại sức hút của máy tính bảng hay điện thoại thông minh trước khi đi ngủ, nhưng ánh sáng từ những thiết bị này chính là nguyên nhân gây hại cho da bạn. Thậm chí việc say mê lướt web khiến bạn mất ngủ, nguyên nhân chính khiến da bị lão hóa.

Nhiều người có một vấn đề nào đó về da như bệnh chàm, vảy nến... khiến da thô và không thể đẹp được. Thiếu ngủ sẽ khiến những căn bệnh này càng phát triển và tăng cao. Bởi vậy, cố gắng tạo thói quen ngủ đủ giấc để ngăn ngừa các căn bệnh này phát triển.