
Bệnh viện Nhân Dân 115 cứu thành công bệnh nhân người Nga bị đột quỵ
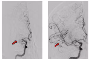
GD&TĐ - Bệnh nhân Nga đột quỵ được cứu sống sau khi chuyển cấp cứu từ Nha Trang (Khánh Hòa) vào Bệnh viện Nhân Dân 115.
GD&TĐ - Bệnh nhân Nga đột quỵ được cứu sống sau khi chuyển cấp cứu từ Nha Trang (Khánh Hòa) vào Bệnh viện Nhân Dân 115.
GD&TĐ - Đang ngủ, người đàn ông bị con trai 8 tuổi dùng đồ chơi bằng gỗ đập vào bìu bên trái gây vỡ đôi tinh hoàn trái.