
Huyết tương trắng đục vì rối loạn mỡ máu
GD&TĐ - Bệnh nhân nhập viện tại Trung tâm Y tế khu vực Cẩm Khê trong tình trạng đau bụng dữ dội vùng thượng vị.
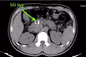
GD&TĐ - Bệnh nhân nhập viện tại Trung tâm Y tế khu vực Cẩm Khê trong tình trạng đau bụng dữ dội vùng thượng vị.