
Bé gái 5 tuổi nuốt nam châm đồ chơi lúc ăn cơm
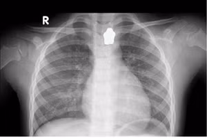
GD&TĐ - Ngày 16/4, Bệnh viện TP Thủ Đức (TPHCM) cho biết vừa tiếp nhận bệnh nhi N.N.N.Y (5 tuổi) nuốt phải nam châm hình ngôi sao trong lúc ăn cơm.
GD&TĐ - Ngày 16/4, Bệnh viện TP Thủ Đức (TPHCM) cho biết vừa tiếp nhận bệnh nhi N.N.N.Y (5 tuổi) nuốt phải nam châm hình ngôi sao trong lúc ăn cơm.