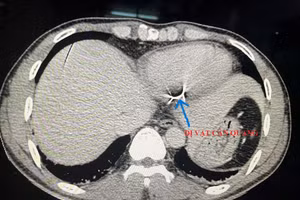
Đi cắt cỏ, người đàn ông bị mảnh lưỡi máy cắt đâm vào tim 05/05/2022 12:47 GD&TĐ - Người đàn ông 35 tuổi trong lúc sử dụng máy cắt cỏ đã cắt phải dây kẽm gai khiến mảnh lưỡi máy cắt đâm xuyên bụng, sau đó đâm vào tim.