#bệnh nhi xuất huyết não

1 kết quả phù hợp

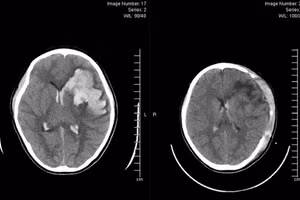
Bệnh nhi xuất huyết não do vỡ khối thông động tĩnh mạch não (AVM). Ảnh: BVCC.

Cứu sống bệnh nhi xuất huyết não

GD&TĐ - Vừa qua, Bệnh viện Bãi Cháy đã cứu sống một bệnh nhi bị xuất huyết não nguy kịch do vỡ khối dị dạng thông động tĩnh mạch não (AVM) não.